1、做牙齿贴面疼不疼?
做贴面是没有任何感觉的,也不需要磨牙,过程中也没有任何不适,没有任何感觉的,所有的步骤都是完全无痛的,怕疼的朋友们可以放心。
2、做完多久呢出门见人?
做完之后立刻就可以,牙齿贴面没有恢复期,即做即走,做完就可以正常饮食,不会影响正常的生活和工作。
3、做牙齿贴面消肿消的快吗?
正常的贴面是不会发生肿胀的情况,不接触除了牙齿之外的任何地方,也就不存在肿胀的问题了。
4、能维持多长时间?
牙齿贴面根据材料的不同维持的时间也不同,一般牙齿贴面保守维持3-5年左右,全瓷贴面维持的时间更长的,保守10-15年。
5、做牙齿贴面要擦药吗?
不需要擦任何的药物,也不需要服用药物。
还是要提示大家,牙齿出现疼痛,龋坏等不适的现象,不要去做贴面了,要去专业的牙科进行治疗,做完之后的保养也是很重要的,刚刚做完牙齿贴面要留意医师说的注意事项,贴面可以用于牙齿的修复和美白,想要做的朋友们要选择专业正规的地方。

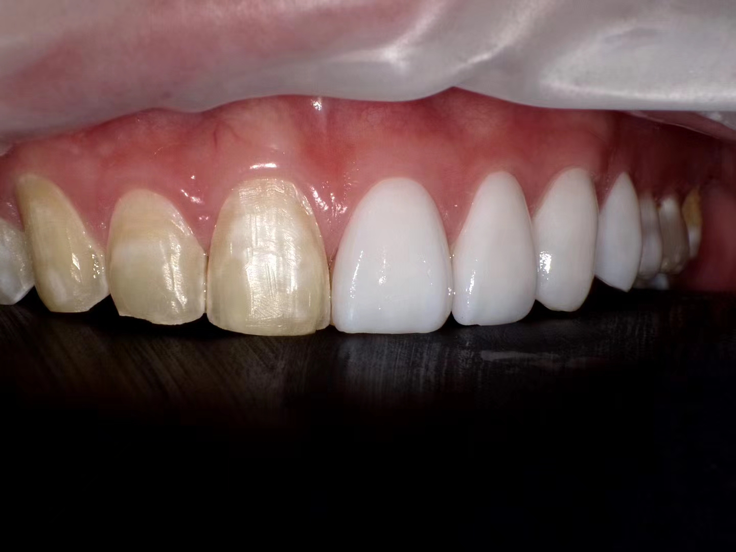
全瓷贴面
#全瓷贴面#牙齿美白#牙齿修复#齿诺美牙#