在线咨询
主页 > 口腔 > 牙贴面 > 正文
快速咨询
1分钟快速解答
整形价格查询
免费查询真实价格
整形医院
整形哪家医院好
真实案例
真实反馈案例查询

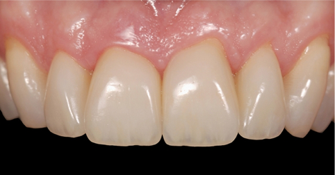
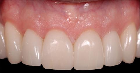
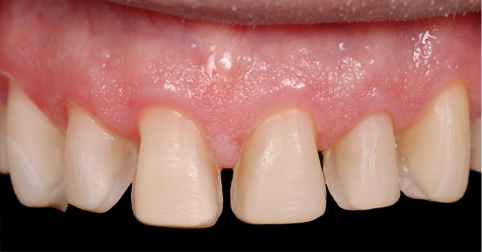
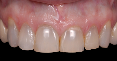
贴面牙齿贵不贵,多少钱一颗?

次阅读 2023-03-23
Alternate Text 在线咨询

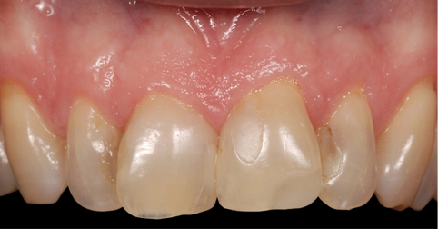
一般情况下,在进行贴面的牙体预备时,医生的目标是尽量保留牙体组织,所有边缘都建立在牙釉质上。这意味着需要保留邻面接触不破坏。但是,临床上在一些情况下,这是不可能的,或者不推荐这样做。

这篇文章会列出一些情况,如果临床上遇到时,我觉得有必要打开邻面接触。

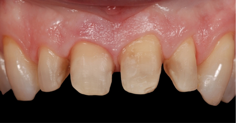
1.邻面有充填体

临床大多数情况下,如果存在III类充填体,我在牙体预备时会打开邻接,目的是为了让贴面包过树脂,将边缘置于干净的牙体组织上。

在这些情况下,牙体预备过程中,我通常也会替换掉原来的充填材料,这样我就知道基牙上是否有继发龋等。如果将修复体边缘置于原来的邻面充填体上,最大的风险是微渗漏,这会导致颜色改变或者发生龋坏。

有一点要说明,有时候出于多保留牙体组织的考虑,我会将贴面边缘置于树脂充填体上。比如原来的邻面充填体范围太大,一直延伸到了腭侧,以致于如果要让贴面包过修复体,最终会把牙齿预备成部分冠,预备量太大。在这些情况下,替换原来的充填体,将贴面边缘越过邻接区,放置在腭侧,就不合适了。不过万一将来出现了微渗漏,则必须接受。

2.两个牙之间有间隙或黑三角

修复有间隙或者黑三角的牙齿时,至关重要的一点是牙体预备时要越过邻接面,将贴面边缘置于邻面与舌面的线角处。

这样的话,技师可以关闭黑三角,同时在从牙体到修复体过度时,能做出一个顺滑的轮廓外形。除此以外,这种情况下,牙体预备时需要将边缘置于龈下,原因也是为了形成一个自然的龈下边缘外形,易于清洁。

3.需要很明显的颜色改变时

天然牙和贴面之间的颜色改变的越大,在邻面牙体预备时我就会预备的越多。

这里的主要目标是美观。把边缘往腭侧多移动一点,修复与牙体之间的接缝越不明显,也不容易看到内部基牙的颜色。

整形168咨询整形师
立刻了解适合自身的变美方案
免费在线咨询
>