厦门人在厦门牙齿矫正结束,牙套注定让我不平凡
开始矫正的时候,没有人理解。牙齿矫正结束了,朋友们都说:“漂亮了很多奥”。深感自己的美丽得自己做主。在厦门矫正牙齿,也是我的幸运。因为书面全包价,分期付款。很靠谱。


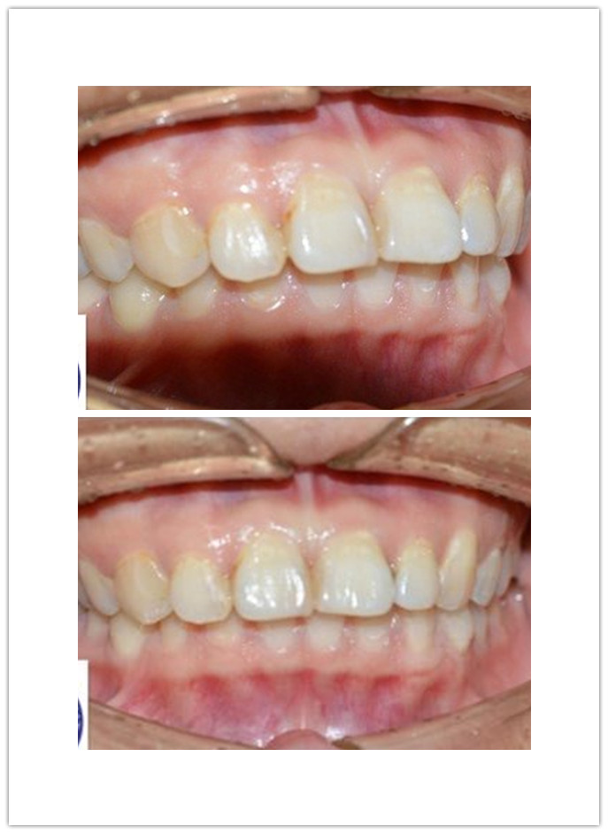
几年前因为补牙,一时冲动顺便把牙整了。自身也是觉得牙齿突度有点大, 鬼迷心窍开始了我的矫正之旅。
但是,现在一点都不后悔啊。
看图,矫正牙齿之后,是不是越来越年轻了?



由于是路过,当初也没有特别信任我 的医生但是,时间久了,一次次的让我觉得选择没错,医院践行了书面全包价的承诺,可选择分期付款,90天排齐做得到位,
主要的是店长丽娇小姐姐人超好,各方面关心。现在摘牙套2年了,来这边还是和之前一样,一样家一般的温暖。
其实在矫正前各种担心,特别是担心吃东西问题,矫正时确实少吃了很多东西,矫正后各种吃,毫无影响生活。在矫正期间一定要听从医嘱,尊重医生的专业,按时复诊,好好刷牙,千万不要随便改方案,因为牙齿会被折腾来折腾去。你不累牙齿还累。戴牙套痛啊,但忍受不了那点痛,就没有美丽的蜕变。
对于整牙这件事,朋友家人觉得我就是瞎折腾。摘牙套之后,他们常说一句:“变漂亮了哦”。听到这话,整个人都飘飘然然。回想整牙前和整牙后,就是从一个不爱拍照的人变成爱拍照的人儿。就是从一个无奈时拍照总是闭嘴变成拼命露齿照,生怕别人不知道我有一口整理美丽的牙。后悔过整牙,但更后悔的是没有早点整。

