几年前就有矫正牙齿的想法,说起矫正牙齿其实心里还是挺害怕的,有太多的疑问和担心 “1.年纪大了会不会有后遗症?2.以后会不会反弹?3.年纪大了牙齿会不会掉的快?” 等等。今年通过面诊了6家医院,门诊,查了很多关于牙齿的科普资料,这些疑问和担心逐一被消除,最后决定要做!!把我的情况跟家人描述了一下,爸妈是极力反对,他们认为:我的牙齿又不是很乱,不影响吃喝,干嘛去矫正,花钱又受罪。可是我知道我想要的是什么,我想要一口健康美丽的牙齿,就这么简单。之后不定期的给他们发一些关于牙齿的文章,并让他们去医院检查一下,洗个牙,逐渐改变他们的想法和认知,最后也慢慢同意我这么做。
为什么要矫正呢?!
这个要追溯到几年前的一场篮球运动。中午和几个同事打篮球,门牙被同事胳膊肘撞了一下,当时吓坏了,真怕门牙被撞掉。从那以后,门牙渐渐有缝隙,越来越大。每次照镜子会刻意的去观察一下甚是烦恼。看到别人笑起来露出一口整齐的牙齿,很是羡慕。心想:我要是也拥有像他们一样好看的牙齿该多好,从此开始有矫正牙齿的想法。我身边也有矫正牙齿的同学和同事,通过询问得知,做完效果还不错。上网查资料发现越来越多的明星也做了牙齿矫正,比如:Angela baby,伊能静,岳云鹏...不要太多,当然作为公众人物,矫正牙齿是为了变漂亮,在镜头前能更好的上镜,达到更好的效果。那么,作为普通人也有追求美的权利,并且现在矫正费用普通上班族也都能接受,两年的矫正期换来后半辈子的心情愉悦何乐而不为呢?况且,我的咬合也不好,矫正不但能把牙齿变整齐,还能矫正深咬合,以后能拥有一口健康的好牙。之前也担心我这个年纪做矫正会不会晚,咨询医生后,可以肯定的是一点都不晚。也有40.50甚至60岁的人还在做矫正,只要牙周健康就可以做,也有比我的情况更复杂的案例。在国外,都很重视牙齿的健康。但在国内,好多人不在意,尤其是上了年纪的,只要不影响吃喝就觉得没必要去医院检查,等真出问题了再去检查已经很严重了,80岁牙齿都慢慢掉落。医生告知:如果牙齿保养的好的话,到80岁还能拥有20颗健康的牙齿。
矫正之前需要做的一件事儿就是拔智齿。每个面诊的医生都建议我把下边两颗智齿拔掉,【也有建议我上下四颗都拔掉的】,以绝后患。每个人有32颗恒牙,真正行使功能的牙齿有28颗。也就是说另外四颗智齿是多余的。可能一部分人不知道什么是智齿,在这里我来科普一下:“智齿是指人类口腔内牙槽骨上最里面的第三颗磨牙,从正中的门牙往里数刚好是第八颗牙齿。由于它萌出时间很晚,一般在16~25岁间萌出,此时人的生理、心理发育都接近成熟,有“智慧到来”的象征,因此被俗称为“智齿”,当然也有人长出来的更晚一些。如果智齿长的很正,又不发炎,也不疼,可以不拔,但是长歪的最好拔掉,时间长了会把旁边正常的牙齿顶坏。横着长的智齿也就是“阻生齿”,拔出的难度也比正常的牙齿大,价格也更贵。
了解阻生齿的危害后,也是为矫正做准备。预约了医生拔牙。这里说一下:我预约的是私立口腔诊所。私立医院的好处就是去了不用排队,医院环境,医生,护士的服务态度相比公立医院要好,很有耐心的讲解病情,回答患者的问题,毕竟私人诊所时要做口碑的,金杯银杯不如患者的口碑(这里并没有黑公立医院的意思)。预约之前已经做好了心理建设,并且是院长亲自操刀,更是打消了一切顾虑。
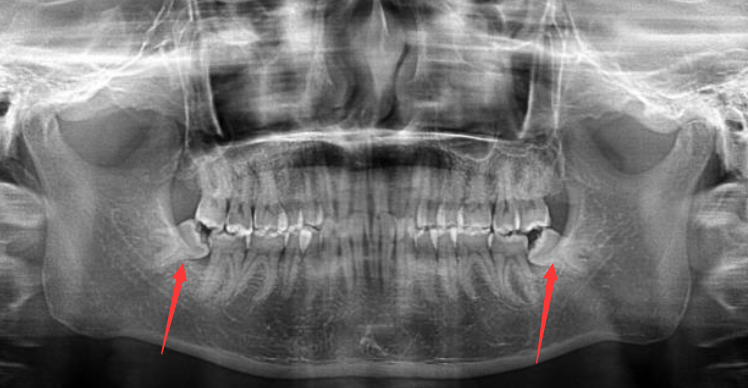
回到正题,拔智齿:
下面是我的牙齿全景图,箭头标的就是下面的两颗阻生齿,死死地顶住旁边正常的牙齿。上下一共四颗,长边的两颗长的还挺端正,先不考虑拔掉。

周六的上午,下着雨我来到门诊。先是取模,然后拍照,最后拔智齿
因为我这两颗阻生齿离神经管比较近,拔除会有风险,严重的话会导致半脸失去知觉,听完医生的话后,还是挺害怕的,心里如滔滔江水翻滚不停,万一。。。。。呸呸呸, 谁也不希望有这个万一。 医生给我一份患者拔牙风险知情协议书让我签字, 得知所有拔牙患者都要签协议书的,已经到这个时候,不管那么多了,签吧。。。。(有种签生死状的赶脚 ~.~)
一屋子医生,护士围着我,心里不由得紧张起来,毕竟这也是一场小手术。拔之前先打麻药,针头,钳子,剪刀,吸管各种工具从我嘴里不断进出,拔牙还是挺疼的,打了麻药,疼痛在承受的范围内,大家不用担心。拔牙过程还挺顺利,大概15分钟就拔出来了,院长技术就是不一般,拔掉后,需要把洞缝上,从拔牙到缝完线大约30分钟。10天左右就可以拆线了,不过医生给我用的是可吸收的线不用拆,两周之后再去拔第二颗。拔完后,护士给我交代了注意事项,给我一个冰袋让我敷到脸上,右下边脸都是麻木的,失去了知觉~
稍歇片刻,我坐起来,要求看一下我的牙齿,乖乖隆地咚。。。。 好大一颗,害人的“小妖精”终于出来了。我要求护士给我打包,嗯,没错,我要带走收藏起来,毕竟是陪伴我几十年,从自己身上掉下来的牙齿。

诊所给的冰袋:24小时内要不断敷脸,时间越长效果越好

拔牙后注意事项

我凝血功能不好,中间换了两次海绵,由于太痛又加了点麻药,又缝了几针,又受一遍罪。两年后就能拥有一口健康美丽的牙齿 这点风,这点痛算什么,忍忍也就过去了。
关于门诊,整体下来感觉很不错,环境优雅,院长很平易近人,技术也棒,护士小哥哥小姐姐也热情有耐心,必须给个好评,两周后去拔第二颗。
附上一张门诊照片

温馨提示:每天要养成早晚刷牙的习惯,时间不低于三分钟。抽空去医院检查一下自己的牙齿,时间长了,牙齿上会有牙结石,导致牙龈萎缩,牙周出问题了,牙齿也就掉的快,医生建议:每年定期洗牙一次
以上就是我拔智齿的过程,希望能对有拔智齿需求的朋友有所帮助,后续我还会写一篇牙齿矫正的过程,记录一下。最后,希望大家都拥有一口健康美丽的牙齿,吃嘛嘛香。。。。